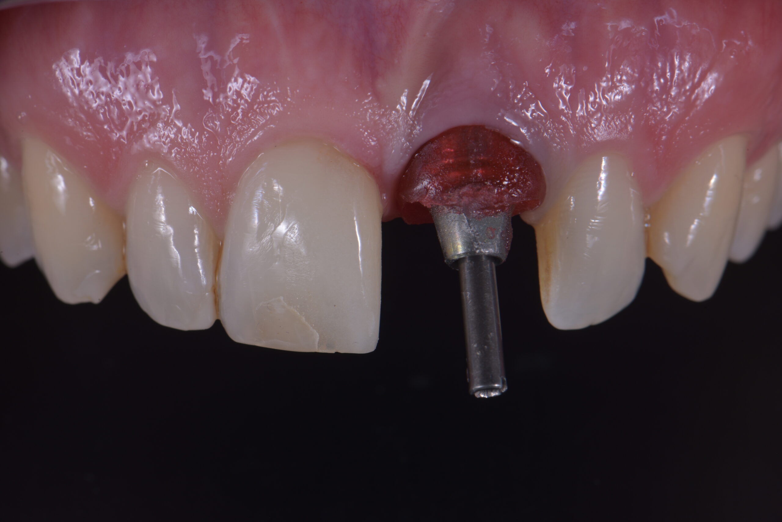
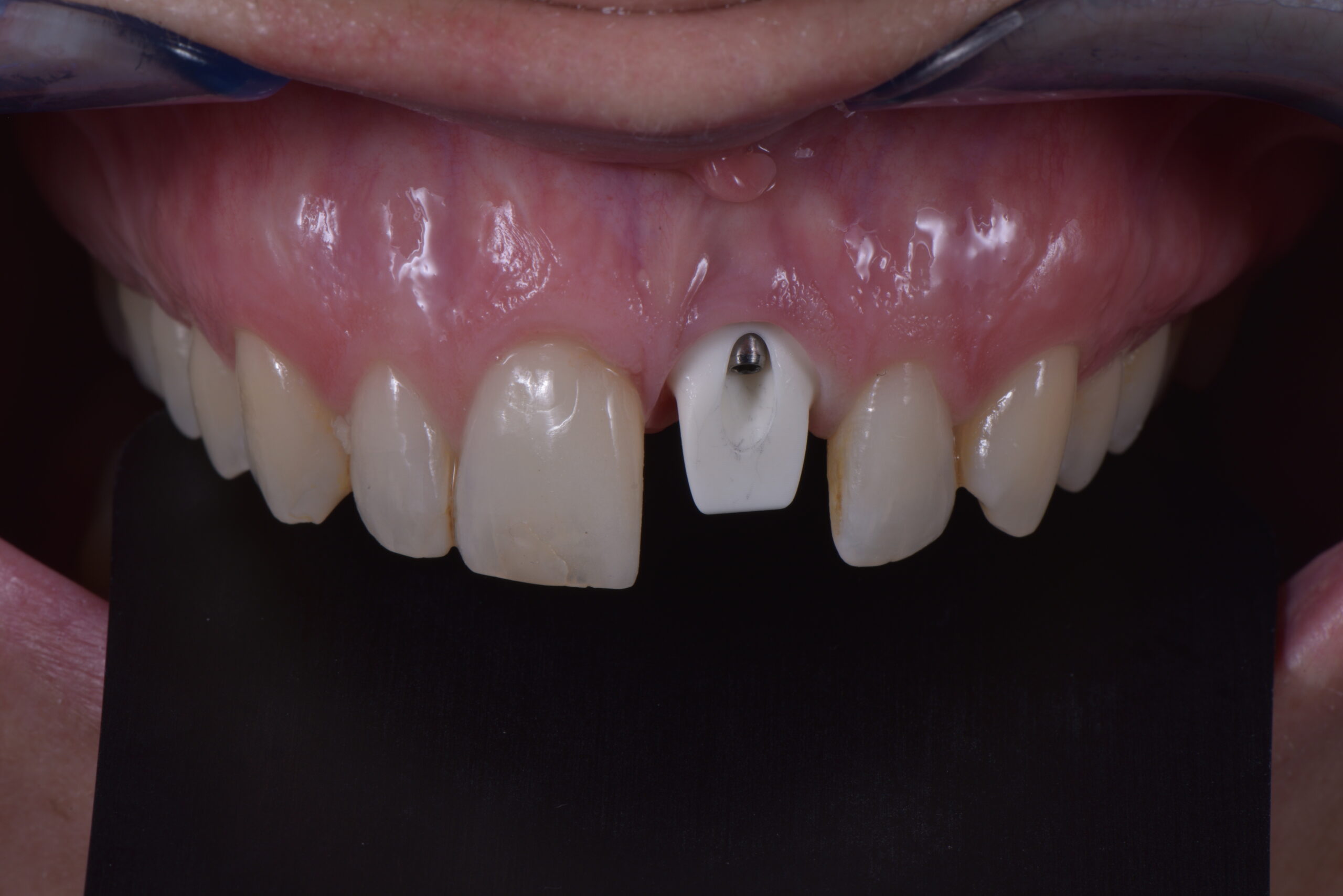
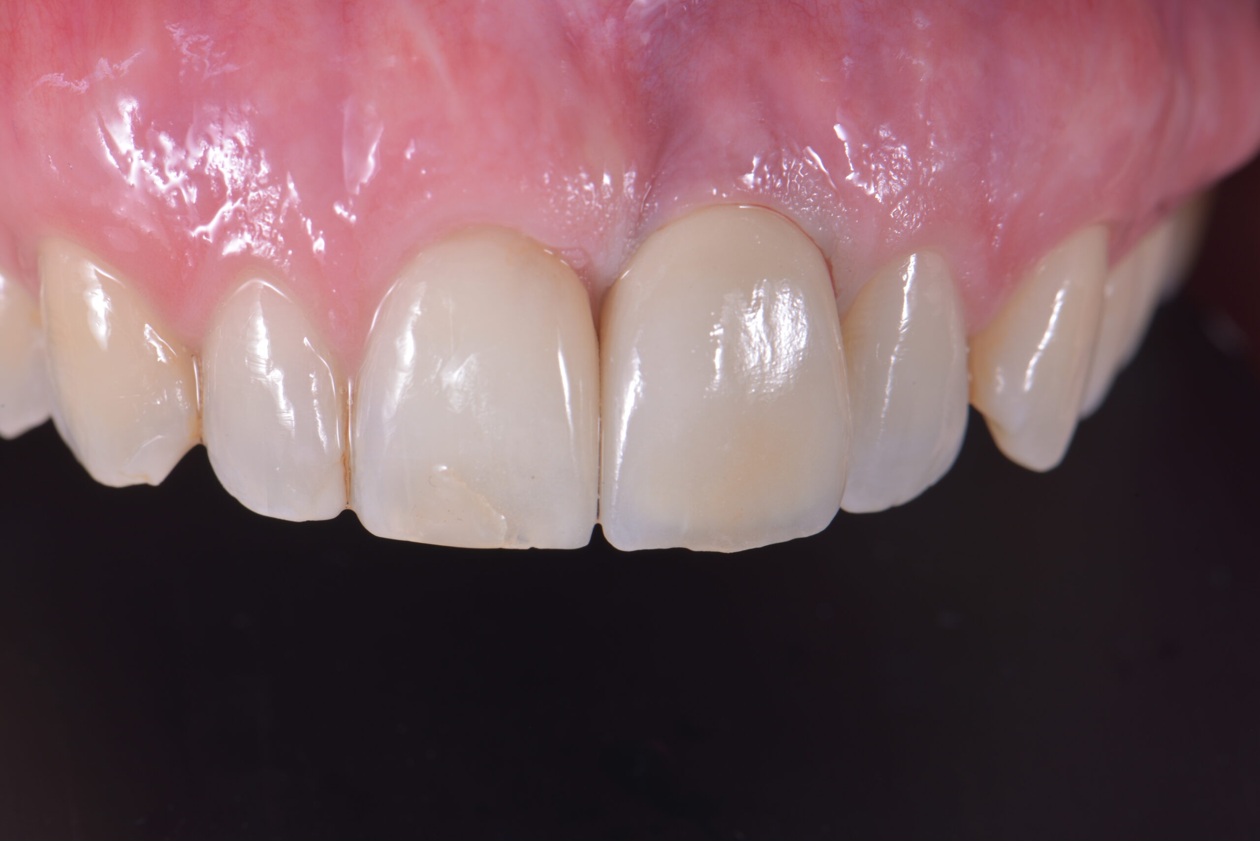
Τα τελευταία χρόνια η έρευνα και η τεχνολογία μας προσφέρουν λύσεις υψηλού επιπέδου στις προσθετικές αποκαταστάσεις ώστε να γεφυρώσουμε το χάσμα ανάμεσα στην αισθητική και την αντοχή. Αντίστοιχα έχουν αυξηθεί και οι προσδοκίες των ασθενών, οι οποίοι αναζητούν αποκαταστάσεις πλήρως λειτουργικές, με υψηλή ακρίβεια και χωρίς εκπτώσεις στην αισθητική.
Το εργαστήριο μας εξιδικεύεται στην κατασκευη ολοκεραμικών αποκαταστάσεων απο ζιρκόνιο και emax, και χάρη στον υπερσύγχρονο εξοπλισμό ανταποκρίνεται σε κάθε ανάγκη.













